Ung thư có thể tái phát nếu chủ quan sau điều trị
home / Y Học 360 / Ung thư có thể tái phát nếu chủ quan sau điều trị

Ung thư có thể tái phát nếu chủ quan sau điều trị

admin

schedule 16/04/2026

Trong thực tế điều trị ung thư, không ít bệnh nhân phải đối mặt với nghịch cảnh sau nhiều năm tưởng chừng đã chiến thắng bệnh tật. Vừa qua, các bác sĩ tại Bệnh viện Hữu Nghị vừa tiếp nhận một trường hợp bệnh nhân nam 71 tuổi từng được chẩn đoán ung thư đại tràng và phẫu thuật từ năm 2018. Bệnh nhân đến khám tại bệnh viện do mệt mỏi, đuối sức kéo dài. Điều đáng nói, sau nhiều năm sức khỏe ổn định và có theo dõi định kỳ, khoảng hơn 2 năm gần đây, bệnh nhân đã bỏ tái khám.

Kết quả xét nghiệm cho thấy bệnh nhân bị thiếu máu nặng, biểu hiện của tình trạng mất máu mạn tính. Trước dấu hiệu bất thường này, các bác sĩ đã chỉ định đánh giá lại toàn diện bằng nội soi dạ dày, nội soi đại tràng, làm các xét nghiệm tổng thể đánh giá nguyên nhân thiếu máu và chụp cắt lớp vi tính (Cắt lớp vi tính 256 dãy) toàn thân. Kết quả phát hiện một khối u sùi mới tại đại tràng, nhiều khả năng là ung thư tái phát (cần kết quả giải phẫu bệnh để chẩn đoán xác định) và rất nhiều polyp đại tràng.

Theo ThS.BS Lê Xuân Hà (Khoa Nội Tổng hợp A – Bệnh viện Hữu Nghị) đây không phải là trường hợp hiếm gặp. Không ít người bệnh sau điều trị ung thư, khi sức khỏe ổn định thường có tâm lý chủ quan, cho rằng bệnh đã khỏi hẳn nên lơ là việc tái khám. Tuy nhiên, thực tế cho thấy nguy cơ tái phát vẫn luôn tồn tại, đặc biệt trong những năm đầu sau điều trị, nhưng cũng có thể xuất hiện muộn hơn.

Ung thư có thể tái phát nếu chủ quan sau điều trị- Ảnh 1.
Ung thư có thể tái phát nếu chủ quan sau điều trị- Ảnh 2.
Ung thư có thể tái phát nếu chủ quan sau điều trị- Ảnh 3.

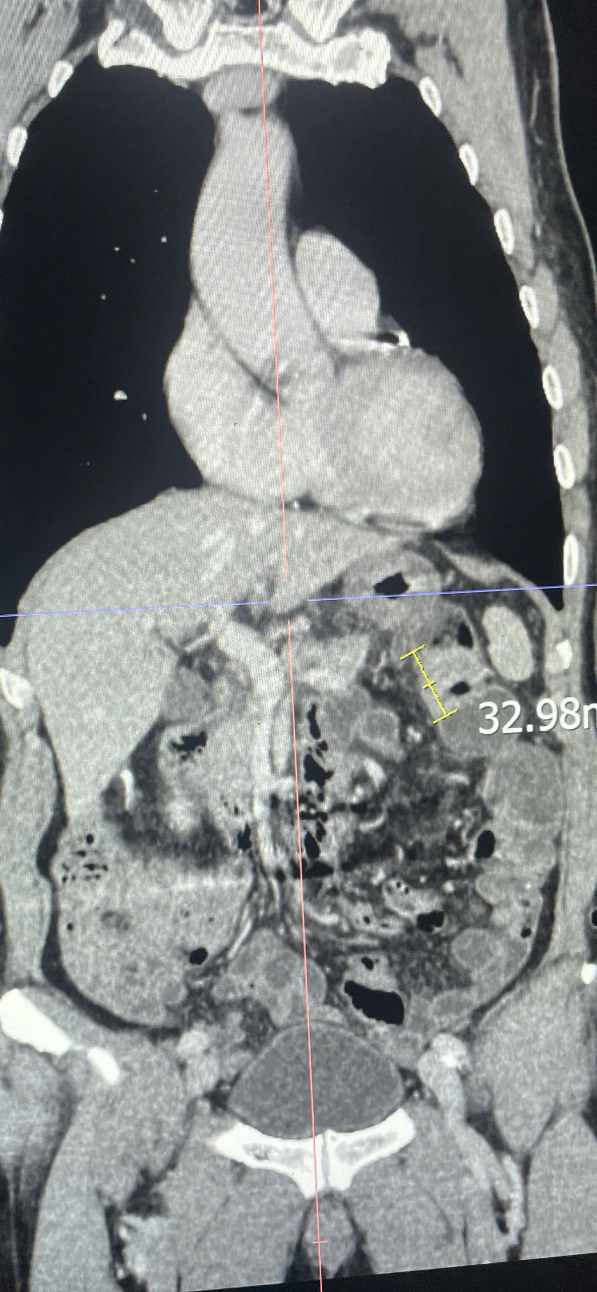
Hình ảnh dày thành đại tràng góc lách nghi u đại tràng trên phim chụp cắt lớp vi tính 256 dãy toàn thân.

Bác sĩ Hà cho biết việc thăm khám định kỳ đóng vai trò đặc biệt quan trọng trong quản lý bệnh ung thư sau điều trị. Thông qua các kiểm tra chuyên sâu, bác sĩ có thể phát hiện sớm dấu hiệu tái phát hoặc di căn, từ đó can thiệp kịp thời, nâng cao hiệu quả điều trị và kéo dài thời gian sống cho người bệnh. Đồng thời, quá trình theo dõi cũng giúp phát hiện và xử trí các biến chứng liên quan đến điều trị trước đó.

Các chuyên gia khuyến cáo, người bệnh sau điều trị ung thư cần tuyệt đối tuân thủ lịch tái khám theo hướng dẫn của bác sĩ, không bỏ qua các dấu hiệu bất thường dù là nhỏ như mệt mỏi kéo dài, sụt cân không rõ nguyên nhân hay rối loạn tiêu hóa. Bên cạnh đó, duy trì lối sống lành mạnh, chế độ dinh dưỡng hợp lý và tinh thần tích cực cũng góp phần quan trọng trong việc kiểm soát bệnh lâu dài.

Từ trường hợp trên bác sĩ Hà cảnh báo đến những người bệnh điều trị ung thư: Khỏi bệnh không đồng nghĩa với kết thúc hành trình theo dõi điều trị. Chủ động theo dõi và tái khám định kỳ chính là chìa khóa giúp người bệnh ung thư bảo vệ sức khỏe và phòng ngừa nguy cơ tái phát.

Bác sĩ Hà nhấn mạnh thêm: Mặc dù ung thư đại trực tràng không phải là bệnh di truyền trực tiếp, nhưng có yếu tố gia đình. Nghĩa là nếu trong gia đình có người mắc bệnh, những người cùng huyết thống sẽ có nguy cơ cao hơn so với người bình thường. Vì vậy, các đối tượng này cần chủ động đi khám, tư vấn bác sĩ và thực hiện tầm soát sớm để phát hiện bệnh kịp thời.

Vaccine ung thư: Hiểu đúng để không kỳ vọng sai.Vaccine ung thư: Hiểu đúng để không kỳ vọng sai.

SKĐS – Thông tin về “vaccine ung thư” đang thu hút sự quan tâm của nhiều người. Tuy nhiên, các bác sĩ khuyến cáo cần hiểu đúng bản chất loại vaccine này để tránh hiểu lầm và kỳ vọng quá mức.